REVISION REPLACEMENT SURGERY FROM A TOP KNEE SPECIALIST
Revision Knee Replacement
When a joint replacement no longer functions as it should, revision surgery can restore mobility and relieve pain. Over time, implants may wear out, loosen, or fail due to issues like infection, dislocation, or mechanical breakdown. If you're experiencing pain, swelling, or joint instability after a previous replacement, it may be time to explore your options.
Dr. Collin Haben is fellowship-trained and experienced in complex revision procedures. He regularly treats patients who have undergone one or more previous surgeries and need a more customized solution. Dr. Haben uses high-performance implants from
that designed to address the complex needs of revision patients.
If you're seeking revision knee replacement, request your appointment today and get back to moving with confidence.

KNEE REVISION SPECIALIST NEAR YOU | Waverly, IA
Why Expert Care Matters
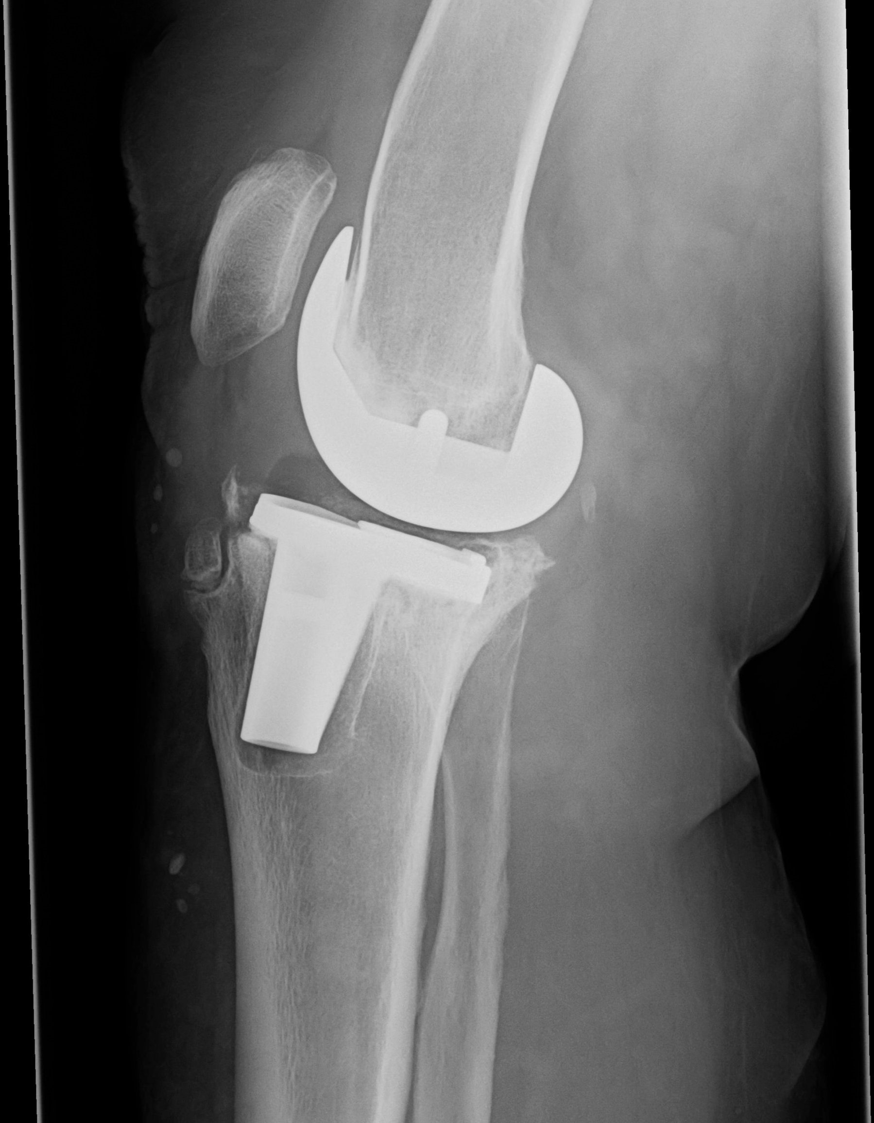
Revision replacement surgery is performed when a previous joint implant fails to function correctly. This could be due to implant loosening, wear over time, dislocation, fracture around the implant, or joint infection. These issues can cause pain, stiffness, swelling, or instability, and often limit daily activities. Some patients may also experience an audible clicking or sensation of the joint "giving out." When these symptoms emerge, revision surgery may be necessary to restore mobility and quality of life.
Patients who have undergone joint replacement years ago, especially those who are younger or highly active, are more likely to need a revision procedure as their implant naturally wears down. In other cases, complications from the initial surgery (such as infection or alignment problems) can necessitate early revision. Regardless of the cause, revision procedures are typically more challenging than first-time replacements due to bone loss, scar tissue, or the need to remove and reconstruct previously altered anatomy.
In each case, Dr. Haben conducts a comprehensive evaluation including physical exams, imaging, and a review of your implant history. Once he determines the cause of failure, he will develop a customized surgical plan to remove the failed components and replace them. Some revisions are partial, while others may require full reconstruction of the joint and surrounding bone.
Patients travel to Dr. Haben not only for his advanced training and surgical expertise, but also for his dedication to solving complex cases. He approaches each revision with a detailed plan tailored to the patient’s specific situation and anatomy, helping to minimize risk and support long-term success. If you’ve been told you may need a revision or if your joint replacement isn’t functioning like it used to, Dr. Haben is here to help.(opens in a new tab)
Frequently Asked Questions
Why do some replacements fail and require revision?
Several factors can lead to why joint replacements fail, including wear and tear over time, infection, dislocation, bone loss, or improper positioning of the original implant. Even the most successful replacement has a limited lifespan, especially for younger or very active patients.
If the implant feels loose, causes pain, or affects your ability to walk, it may be time to explore revision options.
Is it common to need a second knee replacement?
While most joint replacements last 15 to 20 years or longer, it’s not uncommon for active or younger patients to require revision surgery later in life. Others may need revision due to complications. If you're noticing symptoms like increasing pain, limited mobility, or swelling in a previously replaced joint, schedule an evaluation.
How does revision surgery differ from standard joint replacement treatment?
While a standard knee replacement involves replacing a worn-out or arthritic joint for the first time, revision surgery addresses complications or failures of a previous implant. Revision procedures may involve replacing one or all parts of the implant, managing infection, or reinforcing areas of bone loss.
What does “subspecialty-trained” mean in joint replacement care?
A subspecialty-trained surgeon has completed focused training in a specific area after medical school and residency. For complex or revision surgeries, this level of expertise matters. Dr. Haben’s subspecialty training means he has the experience needed to handle challenging cases with skill and confidence.
How do I book with the best orthopedic doctor near me?
To schedule your consultation, either request an appointment online or call our office at 319-859-8139 to speak with our team. We look forward to helping you move better!